Ropień zęba – domowe sposoby i kiedy konieczny będzie antybiotyk?

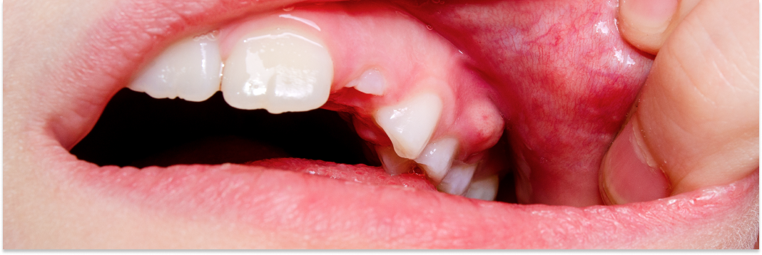
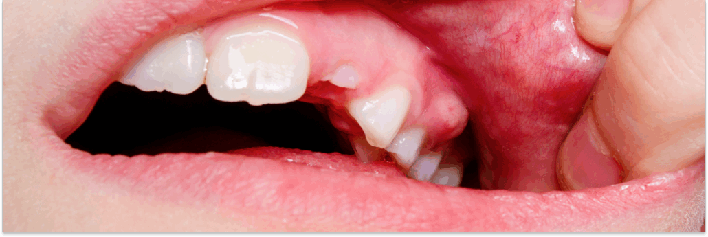
Ropień w zębie – czym jest ropień zęba?
Ropień zęba to ropna kieszeń, która powstaje w wyniku ostrego zapalenia zęba. Pacjent dostrzega wówczas narośl zlokalizowaną w pobliżu zęba. Bywa potocznie nazywana „zbiornikiem” z ropą. Wyróżniamy 3 rodzaje ropni:
- Ropień okołowierzchołkowy – rozwija się u podstawy korzenia zęba, w okolicy wierzchołka. Objawia się silnym, pulsującym bólem, który nasila się przy nacisku lub nagryzaniu.
- Ropień podokostnowy – to bardziej zaawansowana postać infekcji, w której ropa gromadzi się między kością a okostną (błoną otaczającą kość). Zazwyczaj wymaga interwencji chirurgicznej. Często towarzyszy zaawansowanemu ropniowi okołowierzchołkowemu – nie występuje jako niezależna jednostka.
- Ropień dziąsła – zlokalizowany jest między dziąsłem a zębem, najczęściej bez zajęcia tkanek głębiej położonych.
Każdy z tych ropni wymaga innego podejścia terapeutycznego, dlatego tak ważna jest szybka diagnoza i leczenie prowadzone przez dentystę.
Objawy ropnia zęba

Pacjenci zmagający się z ropniem zęba najczęściej zgłaszają następujące objawy:
- bolesna zmiana przypominająca kulę wypełnioną ropą,
- opuchlizna wokół ropnej kieszeni,
- silny ból zęba lub dziąseł podczas picia ciepłych bądź zimnych napojów,
- pulsujący ból, który nie ustępuje,
- nieprzyjemny zapach z ust,
- czasami podwyższona temperatura,
- trudności podczas otwierania ust i jedzenia,
- opuchlizna zlokalizowana na twarzy lub szczęce,
- możliwy ból w rejonie zatok obocznych nosa oraz skroni,
- czasami węzły chłonne pod żuchwą lub na szyi mogą powiększyć się i stać się tkliwe.
Intensywność oraz liczba symptomów uzależnione są od indywidualnego przypadku.
Ropień zęba – przyczyny
Ropień zęba może pojawić się w każdym wieku – nie ma znaczenia czy zęby są stałe, czy mleczne. Dolegliwość zwykle jest następstwem stanu zapalnego w zębie lub tkankach okołozębowych. Najczęstszą przyczyną jest niewystarczająca higiena jamy ustnej oraz nieleczona próchnica. Prawdopodobieństwo ropienia wzrasta, gdy dojdzie do obumarcia miazgi w zębie. Może być również efektem zaawansowanej choroby przyzębia. Tworzą się wtedy „kieszonki przydziąsłowe”, które stanowią idealne miejsce do namnażania się bakterii. Ropień zęba może również powstać jako powikłanie po usunięciu zęba lub być efektem niewłaściwie przeprowadzonego zabiegu stomatologicznego.
Ropień zęba po leczeniu kanałowym
Skutkiem źle przeprowadzonego leczenia kanałowego może być ropień zęba. Dochodzi do niego, gdy kanały nie zostały dostatecznie wyczyszczone z bakterii. Inną możliwością jest ponowne zakażenie poprzez nieszczelne wypełnienie, np. w obrębie korony zęba. Taka sytuacja wymaga pilnej konsultacji stomatologicznej.
Czy ropień zęba sam pęknie?
Ropień zęba może samoistnie pęknąć i wydostać się na zewnątrz lub do wewnętrznych tkanek. W takiej sytuacji należy pilnie udać się do stomatologa. Specjalista oczyści jamę ustną i zabezpieczy organizm przed rozprzestrzenieniem się infekcji. Analogicznie, pacjent nie powinien samodzielnie przebijać ropnia, tylko udać się po pomoc do dentysty.
Jak leczyć ropień zęba?

Pacjenci nie powinni samodzielnie leczyć ropiejącego zęba. Zaleca się, aby jak najszybciej udali się do gabinetu stomatologicznego. Terapia jest uzależniona od stopnia infekcji i umiejscawiania zmiany.
Nacięcie ropnia w znieczuleniu miejscowym
Najczęściej stosowaną metodą jest nacinanie ropnia zęba i usunięcie jego ropnej treści. Niewielkie ropnie nacina się i drenuje w znieczuleniu miejscowym. Jest to zabieg ambulatoryjny, co oznacza, że po założeniu szwów można wrócić do domu.
Nacięcie ropnia w znieczuleniu ogólnym
W przypadku większych ropni lub mnogich stosuje się cięcie chirurgiczne w znieczuleniu ogólnym. Ropień również zostaje nacięty i opróżniony z patologicznej treści. Jama po ropniu zostaje dokładnie oczyszczona. W niektórych przypadkach podejmuje się decyzję o założeniu sączka lub drenu. Usuwa się je, gdy treść płynu w zmianie staje się jałowa. Następnie zakładane są szwy i zabezpiecza ranę opatrunkiem. Pacjent opuszcza szpital do 3 dni od zabiegu.
Ekstrakcja zęba
Stomatolog może też podjąć decyzję o leczeniu kanałowym lub ekstrakcji zęba, czyli jego usunięciu. Przesłankami są poważnie uszkodzony ząb przez ropień oraz silny stan zapalny.
Gojenie rany po nacięciu ropnia zęba

Pacjent po usunięciu ropnia zęba otrzymuje indywidualne zalecenia. Zwykle należy kilka razy dziennie płukać jamę ustną ciepłą wodą z solą lub środkiem antyseptycznym.
Konieczna jest też codzienna zmiana opatrunków (od 1 do 2 razy).
Przez kilka godzin od zabiegu należy unikać twardych, ostrych i gorących posiłków oraz napojów.
Podczas mycia zębów najlepiej omijać okolice rany.
Palenie papierosów oraz picie alkoholu również nie jest wskazane.
Nie zaleca się dotykania rany palcami czy językiem.
W przypadku dyskomfortu można stosować zimne okłady na policzek lub leki przeciwbólowe.
Antybiotyki na ropień zęba
Po usunięciu ropnia zęba lekarz podejmuje decyzje o wprowadzeniu antybiotykoterapii. W razie potrzeby zostają również przepisane leki przeciwbólowe. Termin kontroli i ewentualnego zdjęcia szwów są indywidualnie ustalane przez stomatologa. W przypadku nasilenia bólu lub obrzęku w miejscu rany oraz gorączki należy pilnie zgłosić się do lekarza.
Ropiejący ząb – domowe sposoby
Ropień jamy ustnej może stać się źródłem poważnych powikłań. Dlatego pacjent nie powinien czekać, aż zmiana sama pęknie lub się rozwinie. W związku z tym nie należy leczyć ropni zęba domowymi sposobami, tylko jak najszybciej zgłosić się do specjalisty. Dzięki temu skrócimy czas choroby i ograniczymy ryzyko rozprzestrzenienia się infekcji. Chore zęby mogą być źródłem nie tylko bólu, ale i wielu chorób – nie bagatelizujmy tego.
Nieleczony ropień zęba – skutki
Nieleczona zmiana powiększa się i może spowodować rozprzestrzenienie się infekcji. Bakterie mogą przedostać się do krwioobiegu i następnie do narządów wewnętrznych. To niebezpieczny stan, który może wywołać sepsę, czyli wielonarządową niewydolność i zaburzenie głównych parametrów życiowych. Dlatego w przypadku podejrzenia ropnia należy udać się do stomatologa.
Podsumowanie
Ropień zęba to poważny stan zapalny, którego nie można lekceważyć. Nawet jeśli ból chwilowo ustąpi lub ropień sam pęknie, bakterie nadal pozostają w jamie ustnej i mogą prowadzić do groźnych powikłań. Domowe sposoby mogą przynieść jedynie krótkotrwałą ulgę, ale nie zastąpią wizyty u stomatologa. Tylko specjalista może skutecznie oczyścić zakażenie i zastosować odpowiednie leczenie. Szybka reakcja to nie tylko ulga w bólu, ale przede wszystkim ochrona zdrowia i zapobieganie poważnym konsekwencjom.
Źródła
1) „Abscessed Tooth”, Cleveland Clinic, https://my.clevelandclinic.org/health/diseases/10943-abscessed-tooth, dostęp dn. 23.10.2025 r.
2) „Dental abscess”, NHS, https://www.nhs.uk/conditions/dental-abscess/, dostęp dn. 23.10.2025 r.
3) „Nacięcie i drenaż ropnia”, Szpital Dwroska, https://dworska.pl/zabiegi-operacje-krakow/operacje-chirurgiczne/naciecie-i-drenaz-ropni, dostęp dn. 23.10.2025 r.
4) „Nacięcie i drenaż ropnia zęba”, Dentopolis, https://www.dentopolis-poznan.pl/uslugi/chirurgia-stomatologiczna/naciecie-ropnia/, dostęp dn. 23.10.2025 r.
5) „Ropień zęba – nacięcie ropnia”, Cichoń – Centrum Implantologii i stomatologii estetycznej, https://stomatologiacichon.pl/naciecie-ropnia/, dostęp dn. 23.10.2025 r.
6) „Ropień zęba – przyczyny, objawy i leczenie”, Twój dentysta, https://twojdentysta.co.uk/blog/ropien-zeba-przyczyny-objawy-leczenie/, dostęp dn. 23.10.2025 r.
7) „Tooth abscess”, Mayo Clinic, https://www.mayoclinic.org/diseases-conditions/tooth-abscess/symptoms-causes/syc-20350901, dostęp dn. 23.10.2025 r.
Ten tekst został napisany w celu informacyjnym i nie zastępuje konsultacji z lekarzem.

Jako copywriter specjalizuję się w popularyzacji wiedzy o profilaktyce zdrowia, chorobach, metodach leczenia i fitoterapii. Od lat zgłębiam właściwości ziół i ich praktyczne zastosowanie. Tworzę również treści o pielęgnacji dzieci i dorosłych, opierając się na publikacjach naukowych oraz sprawdzonych źródłach. Jestem autorką poradnika „Bez marnowania. Kuchnia zero waste”, w którym promuję świadome podejście do odżywiania i codziennych wyborów. Moim celem jest przekazywanie rzetelnych informacji w przystępny sposób, by wspierać Czytelników w świadomym dbaniu o zdrowie.







