
Cholera w Polsce i na świecie – objawy i leczenie
Choroby, Porady, Profilaktyka, Szczepienia, Vademecum, Zdrowe nawyki, Zdrowie, Zdrowie, Zdrowie w kuchni, Żywność
Cholera to groźna choroba zakaźna, która nadal występuje w wielu krajach tropikalnych. W Polsce została niemal całkowicie wyeliminowana, jednak podróżujący do regionów o niskim standardzie sanitarnym mogą być narażeni na…

Cyfrowe zmęczenie wzroku – czy niebieskie światło szkodzi oczom?
Choroby, Lifestyle, Porady, Profilaktyka, Zdrowie, Zdrowie
Pieczenie oczu, zamglone widzenie, ból głowy po kilku godzinach przed ekranem? To mogą być objawy cyfrowego zmęczenia wzroku. Jakie są jego przyczyny i co można z tym zrobić?
Dostęp do nowoczesnych technologii sprawia, że coraz…

Jak działają leki wykrztuśne?
Choroby, Leki i suplementy, Maluch, Porady, Pytania i odpowiedzi, Rodzic, Rodzicielstwo, Vademecum, Zdrowie, Zdrowie, Zdrowie w kuchni
Kaszel, który nie pomaga oczyścić dróg oddechowych, a jedynie męczy i wyczerpuje – to częsty problem przy infekcjach. Gdy wydzielina staje się zbyt gęsta, warto sięgnąć po leki wykrztuśne. Jak działają i kiedy naprawdę pomagają?
Kaszel…

Zapalenie wyrostka robaczkowego – leczenie dorosłych
Choroby, Porady, Zdrowie, Zdrowie
Ból brzucha, gorączka, nudności? To mogą być pierwsze objawy zapalenia wyrostka robaczkowego u dorosłych. Sprawdźmy, jak rozpoznać ostre zapalenie wyrostka robaczkowego, na czym polega jego leczenie i czym grozi pęknięcie wyrostka…

Jak wzmocnić odporność psychiczną?
Lifestyle, Porady, Profilaktyka, Psyche, Pytania i odpowiedzi, Stawy i mięśnie, Vademecum, Zdrowie
Odporność psychiczna pomaga nam radzić sobie ze stresem i codziennymi wyzwaniami. Dowiedzmy się, jak w naturalny sposób wzmocnić swoją psychikę i zadbać o emocjonalne bezpieczeństwo – niezależnie od wieku.
Na naszą odporność…

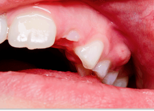
Ropień zęba – domowe sposoby i kiedy konieczny będzie antybiotyk?
Choroby, Maluch, Porady, Profilaktyka, Rodzic, Zdrowie
Ropień zęba to jedna z tych dolegliwości, których nie należy bagatelizować. Powoduje silny ból i dyskomfort. Co na ropień zęba i dlaczego domowe sposoby nie są zalecane przez specjalistów? Kiedy udać się do stomatologa…

Jakie są objawy braku witaminy D?
Lifestyle, Odchudzanie, Porady, Profilaktyka, Psyche, Pytania i odpowiedzi, Rodzic, Vademecum, Zdrowie, Zdrowie, Zdrowie w kuchni
Ciągłe zmęczenie, obniżony nastrój, problemy z odpornością? To mogą być objawy niedoboru witaminy D. Sprawdźmy, jak rozpoznać sygnały, które wysyła nasz organizm - szczególnie jesienią i zimą.
Witamina D, nazywana również…

Ślaz dziki – właściwości, zastosowanie i przepis na napar
Choroby, Porady, Vademecum, Zdrowe nawyki, Zdrowe odżywianie, Zdrowie, Zdrowie, Zdrowie w kuchni, Zielnik
Ślaz dziki to naturalny środek na kaszel, chrypkę i podrażnione gardło. Znany od pokoleń, dziś wraca jako zioło wspierające błony śluzowe i drogi oddechowe. Jakie właściwości kryje ślaz dziki i kiedy warto po niego sięgnąć?
Ślaz…
